ハリネズミの症例
- HOME
- ハリネズミの症例
腫瘍疾患
ハリネズミのできものの原因は腫瘍であることが多く、皮膚、皮下や口腔内にできることがあります。超音波検査などで偶発的に腎臓や肝臓などの内臓臓器にも腫瘍が見つかることもあります。悪性のものが多く、かなり巨大に腫大していくことも見られます。早期の外科介入が必要になることもあります。下の画像は珍しい甲状腺の癌でした。外科切除後も元気にしてくれています。

皮膚疾患
ハリネズミには約5000本の針があるといわれています。針は毛が変形したもので、定期的に抜けることもありますが、病的に針が抜ける場合には疥癬(かいせん)が多く、ヒゼンダニというダニが原因の病気です。疥癬に感染すると針が抜けるだけではなく、フケも多く強い痒みを伴います。一歳未満のハリネズミでは疥癬が一番の原因にあげられます。疥癬は皮膚に寄生するため、接触やフケを介して感染しますが、床敷やタオルなどを介してうつることもあるので注意しましょう。

治療前:疥癬によるフケ、脱針

14病日:フケ、脱針の改善

疥癬
呼吸器疾患
『呼吸の音が変なんですけど‥』
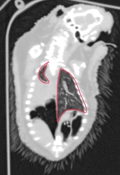
ハリネズミでは鼻炎や肺炎そして気胸などの呼吸器感染症が起きることがあります。重症化すると呼吸困難になることがあるため早期発見が大切です。初期の症状としてはくしゃみや軽度の食欲不振、運動を嫌がるなどの症状が多いです。原因は歯周病などの細菌感染や口腔内の扁平上皮癌などにより、二次的に鼻腔へ影響を与えることも報告されています。肺の疾患としては好酸菌による肉芽腫やリポイド性肺炎、肺の腺癌などが報告されています。
診断にはX線検査を用いて肺の透過性を確認するのですが、撮影時に丸まっている子も多く鮮明に肺を評価することが難しいこともあります。その場合はCT検査(基本的に麻酔は不要)にて評価をすることがあります。肺や鼻腔の細かい評価を行う際ら必要に応じでCT検査を提案させてもらっております。

左肺:正常の大きさ。右肺:肺炎からの無気肺で極小化
子宮疾患
『お尻から血が出てるんですけど‥』とのことで来院されるとき。
ハリネズミでは子宮疾患が多く、症状は外陰部からの出血、血尿および体重減少などが見られます。食欲不振は少ないですが、まれに子宮の痛みから食欲不振になる子もいます。陰部からの出血が少量の場合、発見が遅れることがあるので、陰部や床材に血が付いていないかよく見ておく事が大切です。最終的な診断には超音波検査もしくは麻酔下での検査を行い、出血の原因を探っていきます。
ハリネズミにおける子宮疾患には子宮内膜増殖症、子宮内膜ポリープ、子宮腫瘤などがあり、発生年齢も2〜3歳と若齢の子も多いです。また子宮腫瘍は子宮内膜混合腫瘍、子宮内膜間質結節、肉腫と分類され、これらの腫瘤は子宮内膜症やポリープと併発もすることも多いです。3~ 5歳での子宮腫瘤形成の報告では肉腫が最も多く平滑筋腫、平滑筋肉腫などがあり悪性腫瘍の可能性もあります。

子宮内膜症の子宮

